PATOLOGIA SISTEMAS II (SISTEMA RESPIRATORIO)

PASO PRACTICO N 3

PATOLOGÍA INTERSTICIAL DEL PULMON

Las enfermedades intersticiales del pulmón son parte del espectro de las enfermedades pulmonares difusas. Esta incluyen además las enfermedades bronquiales obstructivas o EBOC. Las enfermedades restrictivas afectan el parenquima pulmonar (x), en cambio, las enfermedades obstructivas afectan la vía aérea (x). Las enfermedades restrictivas, se caracterizan por una reducción del territorio alveolar con la consecuente disminución de la superficie de intercambio gaseoso Las enfermedades obstructivas, en cambio, se caracterizan por una resistencia al flujo (por obstrucciones en cualquier segmento del árbol bronquial).. La sobreposición de enfermedades obstructivas y restrictivas en un mismo paciente es frecuente.

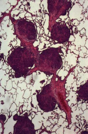
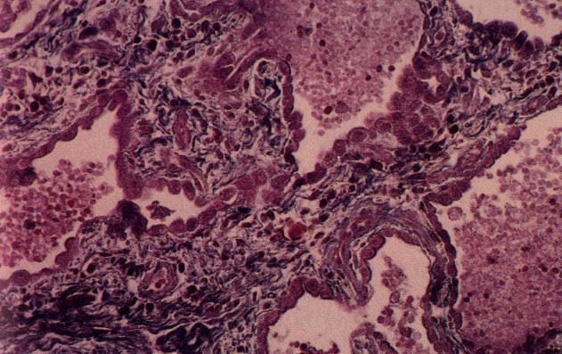
En las enfermedades intersticiales del pulmón predomina la inflamación crónica y reparación celular con fibrosis. La inflamación crónica es en algunas enfermedades de tipo granulomatosa En la siguiente figura se observa un esquema de la patogénesis de estas enfermedades donde se destaca al macrófago como la célula principal (x). El macrófago, como célula fundamental de los procesos inflamatorios crónicos libera mediadores químicos que producen daños celular o mediadores que estimulan la fibrosis (x). En territorio intraalveolar esto se manifiesta en hiperplasia e hipertrofia de los neumocitos tipo II, como se observa en el siguiente esquema (x) y la siguiente microfotografía donde se observa un alvéolo con hiperplasia de los neumocitos tipo II (x). La hiperplasia de los neumocitos tipo II es un fenómeno reactivo y no central en la enfermedad. El proceso central de la enfermedad ocurre en el intersticio donde el macrófago, probablemente, por la incapacidad de eliminar el agente causal de estas enfermedades se agrupa dando origen a las células gigantes multinucleadas y a los granulomas (inflamación crónica granulomatosa) como se ve en las dos siguientes microfotografías con alto aumento (40x) y bajo aumento (4x). Ambas son imágenes características de la sarcoidosis, un tipo de enfermedad restrictiva. Estos granulomas, pueden permanecer como lesiones inflamatorias (por ej. Sarcoidosis, Beriliosis) o ir rápidamente a la fibrosis, En la siguiente imagen se observa un nódulo de fibrosis intersticial característico de Silicosis pulmonar (x). En algunas enfermedades intersticiales predomina directamente la activación de fibroblastos, sin pasar por la etapa de inflamación granulomatosa crónica. En estos casos va a predominar la fibrosis difusa, característico de la Asbestosis (x). Una clasificación de las enfermedades intersticiales más representativas se muestra en la tabla 1 (x).

Las Neumoconiosis se definen como enfermedades adquiridas por la inhalación de aerosoles, por lo tanto son enfermedades ambientales, cuyo desarrollo depende de la cantidad de aerosol retenido en el pulmón, como de sus características físico - químicas (ej. tamaño, solubilidad y toxicidad). Las Neumoconiosis se clasifican en simples y complicadas. Las formas simples consisten en depósitos de aerosoles en el acino respiratorio, sin respuesta inflamatoria crónica. La diferenciación en Neumoconiosis simple y antracosis, que se produce a consecuencia del tabaquismo y de la contaminación de las grandes ciudades a veces no es fácil. Básicamente la diferencia esta en los antecedentes laborales de cada caso en particular. En la Neumoconiosis complicada se agrega la respuesta inflamatoria y de reparación celular, provocando la fibrosis pulmonar intersticial.

NEUMOCONIOSIS DEL CARBÓN

La Neumoconiosis del carbón en su forma simple, aparece después de muchos años de trabajo en minas de carbón. Es una enfermedad relativamente benigna y se caracteriza por la presencia de agregados focales de macrófagos cargados de partículas de carbón. Estos agregados se denominan "máculas de carbón"(x). En la Neumoconiosis complicada, por la presencia de depósitos más extensos de carbón aparece fibrosis dentro de las máculas de carbón, que en su grado máximo se denomina Fibrosis Masiva Progresiva (FMP). La FMP es una denominación genérica de fibrosis pulmonar independiente del agente etiológico. La Neumoconiosis del carbón simple consiste en múltiples lesiones pigmentadas de hasta 2 cm. diseminadas en todo el pulmón y pigmentación similar en los linfáticos, ganglios regionales y pleura. En las formas complicadas se agrega tejido fibroso confluente compuesto por colágeno denso y pigmento de carbón (x). También se han observado nódulos pulmonares similares a los nódulos reumatoides subcutáneos en pacientes con FMP y artritis reumatoide, esta asociación se denomina Sindrome de Caplan y puede observarse en otras neumoconiosis como Silicosis o Asbestosis.

SILICOSIS

La inhalación de sílice produce después de años de exposición, una neumoconiosis intensamente fibrosante que se observa en los trabajadores de la minería de oro, estaño, cobre, carbón y arena. El espectro va desde la silicosis simple hasta la FMP. Rara vez aparece una forma aguda (Silicosis aguda) producida por exposición intensa a polvos finos (ej. Arena) y se caracteriza por espacios alveolares llenos con exudado de lípidos y proteínas simulando una neumopatía aguda. La silicosis crónica se caracteriza por pequeños nódulos que tienden a localizarse en las zonas superiores de los pulmones, pero con la progresion se diseminan. Los nódulos crecen lentamente y algunos confluyen produciendo pequeñas zonas de retracción cicatricial. Puede haber calcificación de las zonas cicatrízales, generando imágenes denominadas cáscara de huevo en la radiografía de tórax. A veces se desarrollan placas fibrosas pleurales y adherencias que pueden obliterar la cavidad pleural. En la microscopía óptica se observan nódulos de colágeno en capas concéntricas alrededor de bronquiolos respiratorios, alvéolos y vasos sanguíneos (x), a veces rodeados de infiltrado linfocitario. Estos nódulos confluyen formando cicatrices que comprimen a los bronquios respiratorio causando obstrucción. Cuando se afectan las arterias pulmonares puede producirse hipertensión pulmonar.

ASBESTOSIS

Esta neumoconiosis es causada por sobrexposición al polvo de asbesto. Además de la Asbestosis, la inhalación de este contaminante causa derrames pleurales, adherencias pleurales, placas fibrocalcificadas en pleura parietal y un aumento de la incidencia de neoplasias, siendo el más frecuente el carcinoma broncogénico y el mesotelioma. El asbesto es un contaminante común de aire y agua, pero la asbestosis aparece casi exclusivamente luego de exposición laboral intensa (industria de extracción y utilización de asbesto). Sin embargo exposiciones significativamente menores se han asociado a neoplasias raras como el mesotelioma, placas fibrocalcificadas en la pleura parietal y otros cánceres. La morfología es de una fibrosis intersticial difusa que sigue la estructura alveolar (x). Típicamente la fibrosis intersticial comienza en los acinos respiratorios subpleurales y se extiende hacia la línea media. El diagnóstico de asbestosis se logra por la identificación de cuerpos de asbesto en las zonas afectadas (x). También puede observarse reacción plural al asbesto, como derrame pleural, fibrosis de pleura visceral o placas fibrocalcificadas en pleura parietal.

BERILIOSIS

La Beriliosis se produce por exposición intensa a humos de berilio metálico, óxidos, u otra aleaciones o sales y puede producir neumonitis aguda. La exposición más prolongada puede causar lesiones granulomatosas pulmonares y sistémicas muy parecidas a las de la sarcoidosis. La mayor exposición se presenta en la industria nuclear, aerospacial y de fabricación de equipos eléctricos o electrónicos y en laboratorios dentales. La Beriliosis aguda es una neumopatía química exudativa, caracterizada por repleción de alvéolos con líquido rico en proteínas. La Beriliosis crónica podría deberse a sensibilización por exposición prolongada al berilio, en la que el metal estimularía la respuesta inmune celular tipo IV. La enfermedad crónica presenta granulomas similares a los de la sarcoidosis, diseminados en el tejido intersticial del pulmón (x) y que puede aparecer en ganglios regionales. Con el tiempo los granulomas pueden sufrir fibrosis progresiva que puede llevar a una intensa alteración ventilatoria si el compromiso pulmonar es importante. El diagnóstico se logra por antecedentes de exposición , demostración de linfocitos T sensibilizados al berilio y detección de berilio en tejido pulmonar u otros.

volver a página principal